The BBC Bitesize diagram entitled “Alternatives to Abortion.”
The Science says human beings are only alive after they exit the body of a woman, except in cases when they exit the body of a woman in the context of an abortion.
A lesson on the BBC’s website promoting the views of an anti-abortion group has been removed by the broadcaster this weekend, following a backlash from health experts.
The religious studies revision guide, on BBC Bitesize, the broadcaster’s educational resource, listed “powerful arguments” against abortion, used the term “pro-life” rather than “anti-abortion” and featured a page devoted to a vocal campaign group that wants abortion in Britain to be banned.
The Society for the Protection of Unborn Children (SPUC) has a history of promoting misinformation in schools and was exposed in 2019 for launching a Toy Story-themed campaign aimed at children that falsely claimed foetuses can feel pain 10 weeks after conception.
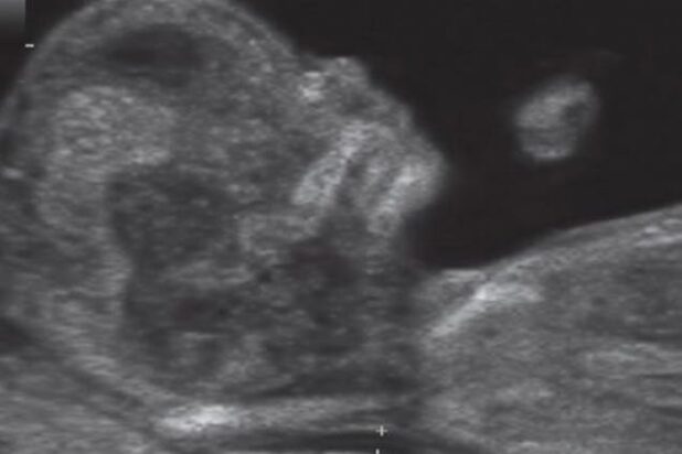
What does it matter if babies in the womb feel pain or not?
These are week 11 and week 12 scans:
Feeling pain or not doesn’t change the fact that it is literally a human being who looks like a human being. Is murder suddenly not murder if murderers anesthetize their victims first?
The broadcaster said it is now reviewing the material in its religious studies guide, which covers Catholics’ views on life and death and is aimed at GCSE students aged 15 and 16.
SPUC has also repeatedly promoted a procedure known as abortion “reversal” on its website, which medical organisations have condemned as unproven and potentially dangerous. And last week it celebrated the decision in the US to overturn Roe v Wade – the supreme court ruling that protected women’s right to abortion across the country – as “a monumental day for justice [and the] unborn”.
Despite its track record, the group was described uncritically on BBC Bitesize as a “pro-life” charity that “advocates for the rights of unborn children”, promotes “the sanctity of human life” and “supports individuals and families through pregnancy”. No pro-choice organisations were mentioned.
Critics said the material, part of a BBC Bitesize resource based on the WJEC exam board syllabus, failed to clearly distinguish between fact and opinion and risked exposing children to “harmful” misinformation.
Lisa Hallgarten, head of policy at Brook, the national sexual health charity, described the learning materials as “shocking” and “problematic in many ways”. . “Pointing to an organisation that is very unreliable when it comes to factual information is problematic because you’re giving them credibility,” she said. “This isn’t abstract for young people; this is real life. We have to really avoid sending people to organisations that are going to be unhelpful to them.”
If they really care about “factual information,” they’d be showing women pictures of what a real abortion looks like.
As well as featuring SPUC, the BBC Bitesize resource listed “powerful arguments” against abortion, including that it “denies choice to the unborn child” and makes human life appear “cheap and disposable”.
In another section, a diagram entitled Alternatives to Abortion suggested sexual abstinence and natural family planning as solutions for avoiding unwanted pregnancies, and “financial support” as alternatives to having a termination, but did not mention contraception.
The British Pregnancy Advisory Service, an abortion provider, raised concerns about information provided to teenagers on alternatives to abortion and said it was “absurd” that the diagram suggested abstinence and natural family planning but did not mention contraception.
It is absurd to suggest teenagers could realistically be expected not to have sex, which is why we have to stop them from marrying and forming families, and instead encourage them to dismember their offspring.
Experts agree this is how you run a successful civilization.





