Spartacus
Daily Stormer
September 5, 2018
tfw clinically retarded brown people who worship the ramblings of a schizophrenic pedophile have more common sense than all of Europe
Have you ever looked up to the sky and wondered why we don’t have flying cars like in the Jetsons?
I have… And one of the very first things that came to mind were “FAGGOTS!!!”
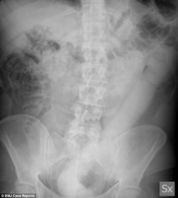
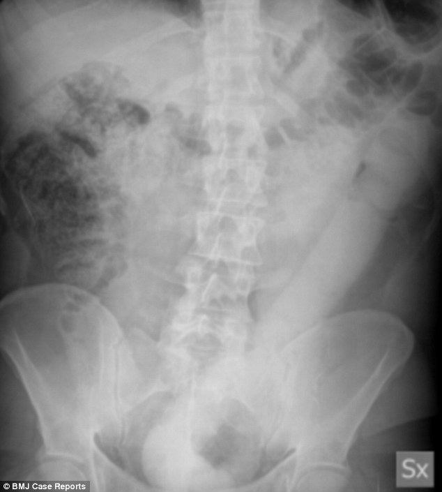
Baffled doctors were forced to invent a lasso-like tool to remove a 23-inch (60cm) dildo firmly lodged inside a man.
The concerned 31-year-old, from Italy, went to hospital after he couldn’t remove the massive sex toy, which had been stuck for 24 hours.
Medics in Milan were unable to get the rubber dildo out using standard methods, complaining it was too big and smooth.
Doctors have standard methods for this because it’s standard faggot behavior, that these faggots do over and over and over again.
He told medics he had placed the dildo into his rectum the day before, and said it was ‘not removable by hand’.
Upon questioning, he admitted he was suffering mild abdominal pain – but had no other worrying symptoms.
Sticking it there in the first place is the main “worrying symptom” you morons.
Consultants then referred him to the hospital’s endoscopy unit, to allow surgeons the chance of removing the dildo.
Writing in the journal, medics led by Dr Lorenzo Dioscoridi said: ‘Several standard attempts with different extraction devices were made.’
A 50mm polypectomy’s snare – a wire loop device used to chop off abnormal tissue growths called polyps – was also ineffective.
Dr Dioscoridi and colleagues said the technique didn’t work because of the ‘rigidity, the smoothness and the large size of the foreign body’.
Forceps and a wire-guided dilation balloon – another common method – failed because of the ‘hard consistence’ of the dildo.
Usually, surgery is the only remaining option to remove foreign bodies that are stuck. But the new technique may change that.
After all their attempts, the medics built a ‘home-made’ snare, designed to hook onto the dildo and drag it back out of the man’s rectum.
In the journal they wrote: ‘We finally succeeded in the endoscopic extraction of the device, catching the distal edge of the dildo with this guidewire lasso.
‘This device showed a technical advantage as compared with ordinary polypectomy snares, due to its much higher stiffness.’
Dr Dioscoridi said this made it possible to detach the colonic wall from the dildo and ‘effectively pull the object’.
The medics said the new technique may be a ‘valid option’ to remove large foreign bodies from the colon and rectum when standard methods for extraction fail.
Man, that sure sounds like time well-spent.
Good thing Hitler lost the war, or else we’d be wasting time building colonies on Mars instead of coming up with all these innovative ways of keeping diseased degenerates alive.
It makes it all worth it, doesn’t it?




